ismile - best Full Mouth Restoration Dental Care Clinic In Patna

Best Full Mouth Restoration Dental Care in Patna

Get a Appointment Today!

Schedule your appointment today
and start smiling brighter tomorrow!

(+91) 9162505822

Full Mouth Restoration at iSmile Dental Care, Patna

"Renew your smile's radiance, with iSmile dental care."

Your premier destination for Full Mouth Restoration treatments in Shantikunj, Patna. We specialize in transforming smiles through comprehensive Full Mouth Restoration treatments, led by Dr. Nausherwan Nehal and Dr. Arshee Ahmed, is dedicated to providing state-of-the-art Full Mouth Restoration care in a comfortable and hygienic environment.

Serving the Patna community since 2013, we combine extensive experience with the latest advancements in Full Mouth Restoration to deliver exceptional results for patients of all ages. From routine check-ups to complex procedures, we offer a wide range of services to meet your dental needs. Click here to Book Your Appointment Today and Take the First Step Toward Better Oral Health!

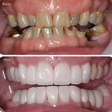
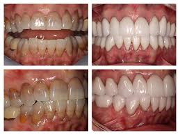
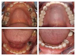
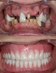
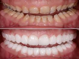
Before and After Images



Our Full Mouth Restoration Experiences

Removable
Dentures

Our team of iSmile provides you Removable Dentures that are ideal for patients with significant tooth loss, we provides removable dentures that gives you a functional and aesthetic solution. They can be easily removed and it is easy to clean and easily maintenance.

Implant-Supported Dentures

Our team of iSmile provides patients with adequate bone support or those experiencing bone loss, implant-supported dentures offer increased stability and comfort. Dental implants are surgically placed into the jawbone to anchor the denture securely in place.

Complete Implant-Supported Teeth

For a permanent and natural-looking solution, complete implant-supported teeth provide a comprehensive restoration. Each tooth is individually replaced with a dental implant and a custom-made crown, resulting in a smile that feels and functions like natural teeth.

Why Choose iSmile Dental Care for Full Mouth Restoration at Patna?

Our team is proficient in advanced dental techniques and technologies, ensuring that you receive the highest standard of care for Full Mouth Restoration, With 11 years of experience in providing personalized dental care.

iSmile Dental Care is proud of our exceptional reputation and high patient satisfaction rates. Our Google reviews reflect the positive experiences of countless patients who have entrusted us with their dental care needs. Our clinic is designed to create a relaxing and stress-free environment, making your dental visit a positive experience.

Your comfort and satisfaction are paramount at iSmile Dental Care. Contact us today!

Contact us

Happy Smiles

Years of experience

Appointments a year

FAQs about Full Mouth Restoration at Patna

Full Mouth Restoration involves a comprehensive dental treatment plan aimed at restoring the function, aesthetics, and health of all teeth in both the upper and lower jaws. It typically combines various dental procedures like crowns, bridges, veneers, implants, or dentures to achieve optimal results.

Full Mouth Restoration is suitable for individuals who have extensive dental issues such as severe decay, multiple missing teeth, gum disease, bite problems (malocclusion), or significant wear and tear due to factors like bruxism (teeth grinding). A consultation with our dental specialists will determine if you are a candidate.

Procedures can vary based on individual needs but often include dental implants for missing teeth, crowns or veneers to restore damaged teeth, bridges to replace missing teeth, gum treatments for periodontal health, and orthodontics to correct bite alignment issues.

The duration of treatment depends on the complexity of your case and the specific procedures involved. It can range from several months to over a year, depending on whether preliminary treatments like gum therapy or orthodontics are necessary before restorative work can begin.

Yes, several options exist, including traditional removable dentures, implant-supported dentures, and full-mouth dental implants. The choice depends on factors like bone health, personal preference, and desired outcome. Our specialists will discuss the best option for your specific situation.

Recovery varies based on the procedures performed. You may experience temporary discomfort, swelling, or sensitivity, which can typically be managed with prescribed medications and follow-up care instructions. Our team will provide comprehensive guidance to ensure a smooth recovery process.

With proper care and regular dental check-ups, the results of Full Mouth Restoration can last for many years, even a lifetime in some cases. Maintaining good oral hygiene practices and attending scheduled dental appointments are crucial to preserving your restored smile and oral health.

Patient Stories: Hear What Our Clients Have to Say

Make an Appointment

Visit Now!

Smile Bright, Live Healthy