iSmile - Best Tooth Implants Dental care Clinic in Patna

Best Tooth Implants Dental Care in Patna

Get a Appointment Today!

Schedule your appointment today
and start smiling brighter tomorrow!

(+91) 9162505822

Tooth Implants at iSmile Dental Care, Patna

Discover lasting confidence with advanced tooth implants at iSmile Dental Care.

Your Destination for the Best Tooth Implants in Shantikunj, Patna. Our team of highly skilled and experienced dentists is dedicated to providing you with the best dental care possible. Dr. Nausherwan Nehal and Dr. Arshee Ahmed, Expert in tooth implants with a track record of successful cases.

Serving the Patna community since 2013. Our clinic is equipped with the latest technology and our doctors are certified experts in implantology, ensuring you receive top-notch care. It is never too late to enhance your smile and boost your confidence. Click here to Book Your Appointment Today and Take the First Step Toward Better Oral Health!

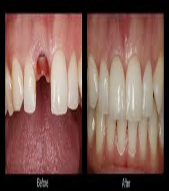
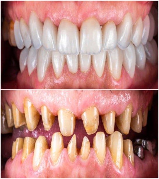
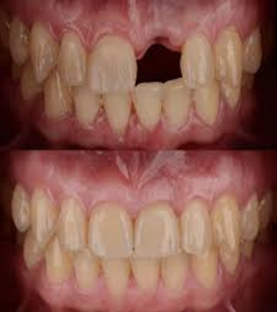
Before and After Images



Our Tooth Implants Experiences

Bone Grafting

In cases where the jawbone lacks sufficient thickness or density to support an implant, bone grafting may be recommended. Bone grafting involves adding bone material to the jawbone to enhance its strength and volume, providing a stable foundation for the implant.

Implant Surgery

Placement of the dental implant into the jawbone. This is done under local anesthesia. The dentist or oral surgeon will make an incision in the gum tissue to expose the bone, then drill a small hole into the jawbone where the implant fixture will be placed.

Abutment Placement

Once osseointegration is complete and the implant has integrated with the bone, a small connector called an abutment is attached to the implant fixture. The abutment protrudes through the gum line and serves as the foundation for the final prosthetic tooth or crown.

Why Choose iSmile Dental Care for Tooth Implants at Patna?

With 11 years of experience in providing personalized dental care. Our clinic is equipped with the latest technology and our doctors are certified experts in implantology, ensuring you receive top-notch care.

Our patients range from 9 years old to their 40s, proving that you can achieve a perfect smile at any age. We tailor our treatments to meet the unique needs of each patient, ensuring the best possible outcomes.

Transform your smile with the experts. Contact us today!

Contact us

Happy Smiles

Years of experience

Appointments a year

Faqs about Tooth Implants at Patna

Tooth implants are artificial tooth roots made of titanium that are surgically placed into the jawbone. They provide a permanent base for fixed or removable replacement teeth.

With proper care, tooth implants can last a lifetime. Regular dental check-ups and good oral hygiene are essential to maintain their longevity.

The procedure is performed under local anesthesia, so patients typically experience minimal discomfort. Post-surgery pain is usually manageable with prescribed medication.

As with any surgical procedure, there are some risks, including infection, nerve damage, and implant failure. However, these risks are minimal when performed by experienced professionals like our team at iSmile Dental Care.

Most people with missing teeth are good candidates for implants. However, a thorough evaluation by our dentists will determine if implants are the right solution for you.

At iSmile Dental Care, we combine expertise, advanced technology, and personalized care to ensure the best outcomes for our patients. Our commitment to hygiene, comfort, and patient satisfaction makes us the best choice for tooth implants in Patna.

Patient Stories: Hear What Our Clients Say About Us

Make an Appointment

Visit Now!

Smile Bright, Live Healthy